Project Description
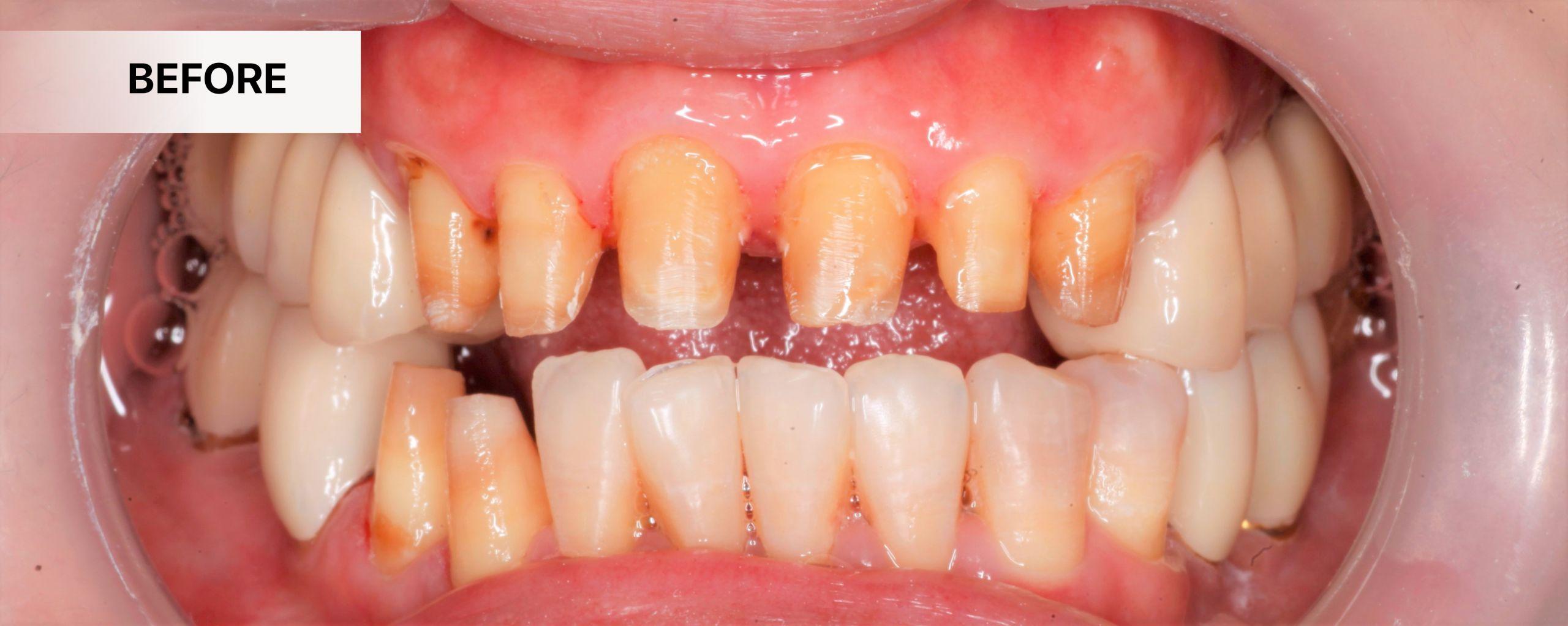
Why does a tooth need to be crowned?
- To protect a weak tooth (for instance, from decay) from breaking or to hold together parts of a cracked tooth
- To restore an already broken tooth or a tooth that has been severely worn down
- To cover and support a tooth with a large filling when there isn’t a lot of tooth left
- To hold a dental bridge in place
- To cover misshapened or severely discolored teeth
- To cover a dental implant
- To make a cosmetic modification

What are Dental Crown and Dental Bridge?
A dental crown can cap an individual’s damaged or decaying tooth or be placed on top of a dental implant to replace a missing tooth.
Dental bridge are solely used to replace missing teeth. They have two crowns – one on either end – and a bridge of replacement teeth that rest in the area of the gums where there is tooth loss. The crowns at the ends of a bridge can fuse to existing teeth.
make the best decision for your smile now.
Get the best consultation near your house.